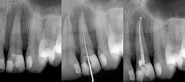
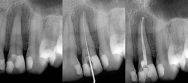
신경치료(근관치료)는 치아 내부의 감염된 신경과 혈관 조직을 제거하고, 내부를 소독·충전하여 치아를 살리는 치료입니다.
많은 분들이 “신경치료 했으니 끝났다”라고 생각하지만, 실제로는 치료 직후부터 몇 주 동안 재감염 방지와 치아 보존을 위한 관리가 중요합니다.
이번 글에서는 신경치료 후 환자가 지켜야 할 주요 주의사항과, 지키지 않았을 때 생길 수 있는 문제를 정리했습니다.
1. 치료 당일과 직후, 꼭 주의할 점
① 마취가 풀리기 전에는 음식물 섭취 금지
- 마취로 감각이 둔해져 혀, 입술, 뺨을 물어도 통증을 못 느낄 수 있습니다.
- 뜨거운 음식·음료도 화상을 입을 위험이 있으니 마취가 완전히 풀린 후 섭취하세요.
② 치료한 쪽으로 씹지 않기
- 신경치료 도중 치아는 내부가 비어 있고, 임시 충전재만 막혀 있는 상태가 많습니다.
- 딱딱하거나 질긴 음식을 씹으면 치아 파절 위험이 큽니다.
- 최종 보철(크라운) 완성 전까지는 반대편으로 씹는 습관을 유지하세요.
2. 치료 과정 중 지켜야 할 습관
신경치료는 대부분 2~3회 이상 나누어 진행됩니다.
중간 단계에서 무심코 생활하다가 치료가 지연되면, 재감염 위험이 커집니다.
① 치료 약속은 절대 미루지 않기
- 임시충전재는 완전 밀폐가 아니어서 장기간 방치하면 세균이 재유입될 수 있습니다.
- 치료 중단 시, 처음보다 더 심한 염증이나 골손실이 생길 수 있습니다.
② 이물감·통증 변화는 즉시 알리기
- 치료 후 2~3일간은 씹을 때 통증이 있을 수 있지만, 시간이 지날수록 완화됩니다.
- 통증이 심해지거나 부어오르면 세균 재감염 가능성이 있으니 즉시 치과에 연락하세요.

3. 신경치료 완료 후 주의사항
신경치료가 끝났다고 해도, 치아는 이미 구조적으로 약해져 있습니다.
특히 치아 내부 신경이 제거되면, 수분 공급이 끊겨 치아가 건조하고 취약해집니다.
① 빠른 시일 내 크라운 보철 진행
- 신경치료 후 남은 치아는 부서지기 쉬우므로,
1~2주 내 크라운(씌우기)으로 보호하는 것이 일반적입니다. - 크라운을 씌우지 않으면 단단한 음식(견과류, 얼음 등) 섭취 시 치아가 세로로 쪼개질 수 있습니다.
- 치아가 쪼개지면 발치가 불가피합니다.
② 보철물 적응 기간 동안 주의
- 크라운이 완성되어도, 처음 며칠은 약간의 이물감이나 씹는 높이 변화가 느껴질 수 있습니다.
- 이 기간엔 특히 딱딱한 음식은 피하고, 저작 양을 서서히 늘리세요.
4. 신경치료 후 흔히 하는 실수와 문제점
실수결과
| 치료 중단 | 세균 재감염 → 재신경치료 또는 발치 |
| 반대편이 불편하다고 치료한 쪽으로 씹음 | 치아 파절, 보철 불가능 |
| 크라운 미루기 | 치아 구조 약화, 파절 위험 증가 |
| 통증·부기 무시 | 농양(고름주머니) 악화, 턱뼈 손상 |
5. 관리 포인트 요약
- 마취 풀릴 때까지 금식
- 치료한 쪽 사용 최소화
- 치료 일정 반드시 지키기
- 완료 후 빠른 크라운 보철
- 이상 증상 시 즉시 치과 연락
6. 환자가 자주 묻는 질문 (Q&A)
Q1. 신경치료 후 통증이 계속 있으면 실패한 건가요?
- 아뇨. 며칠~1주간은 씹을 때 통증이 있을 수 있습니다.
- 하지만 점점 심해진다면 감염이 남았을 가능성이 있어 재검사가 필요합니다.
Q2. 신경치료한 치아는 평생 쓰나요?
- 잘 관리하면 수십 년 쓸 수 있습니다.
- 그러나 구조가 약하므로, 정기검진과 보철 유지관리가 필수입니다.
Q3. 임시충전재로 몇 달 지내도 되나요?
- 권장하지 않습니다.
- 임시충전재는 장기간 방어력이 떨어져 세균 재침투 위험이 높습니다.
7. 마무리
신경치료는 치아를 살리기 위한 마지막 단계 치료입니다.
하지만 **‘치료가 끝났다’ = ‘관리도 끝났다’**는 뜻이 아닙니다.
오히려 이 시점부터 치아를 오래 쓰기 위한 보호와 생활습관 관리가 시작됩니다.
치료 직후 주의사항을 잘 지킨 환자와 그렇지 않은 환자의 치아 수명은
몇 년에서 몇십 년까지 차이가 납니다.
정리하자면, 신경치료 후의 관리가 곧 치아의 수명입니다.
치과에서 안내한 주의사항을 꼼꼼히 지키고,
정기검진으로 상태를 점검한다면 이 치아는 오래도록 제 역할을 해줄 것입니다.
구분체크 항목비고
| 치료 당일 | 마취가 풀리기 전 음식·음료 섭취 금지 | 혀·입술·볼 씹힘, 화상 예방 |
| 치료한 쪽으로 씹지 않기 | 치아 파절 위험 | |
| 치료 중 | 예약 일정 지키기 | 임시충전재 장기 방치 시 재감염 |
| 통증·부기 변화 시 즉시 연락 | 감염 악화 예방 | |
| 치료 완료 후 | 1~2주 내 크라운 보철 진행 | 치아 구조 보호 |
| 보철 적응 기간 동안 딱딱한 음식 피하기 | 파절 방지 | |
| 생활 관리 | 딱딱하거나 질긴 음식 주의 | 견과류, 얼음, 마른오징어 등 |
| 정기검진(6개월~1년) 받기 | 보철 상태, 잇몸·뼈 점검 | |
| 구강위생 철저히 관리 | 양치+치실/치간칫솔 병행 |
