40대 이후에는 선택이 아니라 투자입니다
치과에 가면 가끔 “잇몸치료를 해야 한다”는 이야기를 듣곤 합니다.
그런데 많은 분들이 이렇게 물어보시죠.
“잇몸치료, 꼭 해야 하는 건가요?”
“스케일링이랑 뭐가 다른 거예요?”
“안 하면 치아가 금방 망가지나요?”
결론부터 말하면, 잇몸치료는 모든 사람이 반드시 받아야 하는 필수 치료는 아니지만, 특히 40대 이후에는 해주는 것이 좋습니다.
그 이유는 나이가 들면서 잇몸 건강이 빠르게 변하기 때문이에요.
1. 잇몸치료가 뭔데요?
잇몸치료(치주치료)는 단순히 치아 표면의 치석을 제거하는 스케일링과 다릅니다.
잇몸 깊숙한 곳, 즉 치아 뿌리 주변에 있는 ‘치주포켓’ 안쪽의 치석과 염증 조직을 제거하는 치료예요.
대표적인 방법은 **치근면활택술(Root Planing)**입니다.
- 잇몸 안쪽 깊이 들어간 치석과 세균 막을 제거
- 뿌리 표면을 매끈하게 다듬어 세균이 다시 달라붙지 않도록 함
경우에 따라선 잇몸을 절개하고 치석과 염증을 직접 제거하는 치은박리소파술이 필요하기도 합니다.
2. 언제 해야 하나요?
잇몸치료는 주로 다음 상황에서 권유됩니다.
① 잇몸에서 피가 자주 날 때
양치할 때 피가 나는 건 단순 잇몸 민감성 때문이 아니라, 잇몸 속에 염증이 있다는 신호일 수 있습니다.
② 잇몸이 붓고, 눌렀을 때 통증이 있을 때
부종이 있다는 건 이미 세균이 활동하고 있다는 의미.
③ 치아가 흔들릴 때
뼈(치조골)가 이미 일부 녹아있을 가능성이 높고, 진행을 막으려면 잇몸치료가 필요합니다.
④ 구취가 심해졌을 때
잇몸 깊은 부위의 세균이 휘발성 황화합물을 만들어 입 냄새를 유발합니다.
⑤ 치주포켓이 깊게 측정될 때
치과에서 잇몸 측정기를 넣어 4mm 이상이 나오면 잇몸치료 단계로 넘어가야 할 수 있습니다.
3. 꼭 해야 하는 건가요?
여기서 중요한 포인트!
- 20~30대 건강한 잇몸: 대부분 스케일링만으로 관리 가능
- 40대 이후: 뼈 흡수가 서서히 진행되고, 잇몸 안쪽에 치석이 잘 쌓이기 시작
- 50대 이상: 잇몸질환 진행 속도가 빨라져 치아 상실 위험 증가
즉, 모든 사람이 필수는 아니지만, 40대 이후에는 예방 차원에서라도 잇몸치료를 고려하는 게 좋다는 거죠.
왜냐하면 잇몸병은 통증이 거의 없어서, “괜찮다”고 생각하는 사이에 이미 뼈가 녹고 치아가 흔들리기 시작하기 때문입니다.
4. 안 하면 어떻게 되나요?
- 치아 뿌리 노출 → 시린 증상 심해짐
- 치조골 흡수 → 치아 흔들림, 저작력 저하
- 치아 상실 → 임플란트나 틀니 필요
- 전신 건강 문제 → 심혈관 질환, 당뇨 조절 악화와 연관
잇몸은 한 번 크게 망가지면 원래대로 회복하기 어렵습니다.
잇몸치료는 이를 ‘막는’ 치료이지, ‘완전히 되돌리는’ 치료는 아니에요.
5. 40대 이후에 특히 필요한 이유
- 치주질환 유병률 증가
보건복지부 자료에 따르면, 40대 이후 성인의 절반 이상이 치주질환을 가지고 있습니다. - 치아 뿌리 노출 빈도 증가
나이가 들면서 잇몸이 퇴축(줄어듦)되기 때문에 뿌리가 노출되고, 치석이 더 깊이 쌓입니다. - 골 흡수 속도 가속화
초기에는 1년에 0.1~0.2mm 정도 녹지만, 중기 이후엔 더 빠르게 진행. - 자각 증상 부족
통증 없이 진행돼서 발견이 늦어지는 경우가 많음.

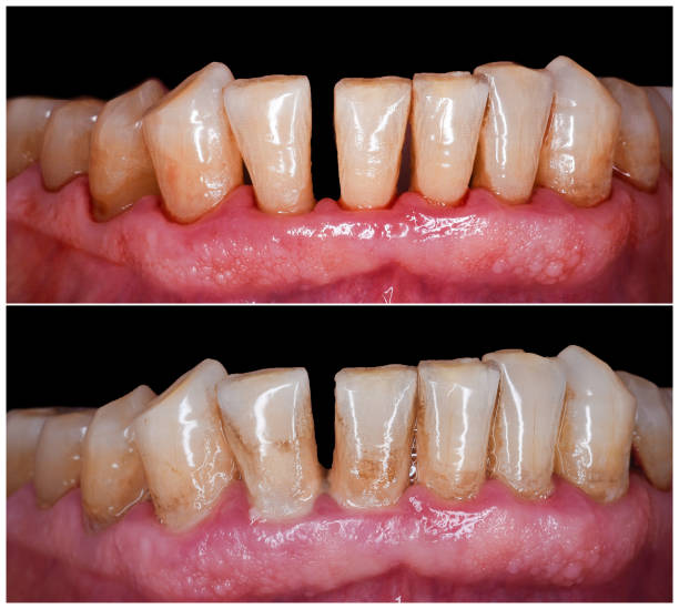
이 사진을 보시면 아래 사진은 치아 옆에 찌꺼기 같은것들도 많이 붙어있고 착색도 많이 되어있는것을 볼 수 있는데요
위 사진은 잇몸치료 이후 시간이 좀 지나서 잇몸도 가라앉고 치석과 착색이 많이 제거된 것을 볼 수 있습니다.
이처럼 많이 관리가 안되는 분들은 잇몸치료를 필수적으로 해야합니다.
6. 치료 주기와 관리 방법
- 잇몸치료 필요 판정 시: 보통 1/3악씩(입을 3 구역으로 나눠) 3회 내원
- 치료 후 유지관리: 3~6개월마다 유지 스케일링
- 가정 관리: 치실·치간칫솔 병행, 칫솔질 방법 교정
7. 결론
잇몸치료는 젊고 건강한 잇몸을 가진 사람에게는 당장 필수는 아닐 수 있습니다.
하지만 40대 이후에는 예방과 조기치료를 위해 받아두는 것이 좋습니다.
한 번 잃은 잇몸과 뼈는 되돌릴 수 없으니까요.
치아는 평생 가야 하지만, 잇몸은 관리하지 않으면 조용히 무너집니다.
“잇몸치료는 필수가 아니라, 내 치아를 지키는 보험”이라고 생각하세요.